近日,海南大学热带农林学院、热带作物生物育种全国重点实验室(海南大学/中国热科院) 在国际植物学权威期刊Plant Biotechnology Journal在线发表了题为“Metabolic Enzyme MeHNL11 Regulates MeCAS1b Transcription for Cyanide Assimilation and Nitrogen Recycling in Cassava under LowNitrate Stress”的研究论文。该研究首次揭示了木薯羟腈裂解酶MeHNL11的非典型转录调控功能,为理解木薯高效氮素利用的分子机制提供了新见解。
木薯(Manihot esculenta Crantz)是全球重要的热带粮食作物,以耐贫瘠和氮素利用率高著称。其体内富含生氰糖苷,传统上被认为是防御性次生代谢物。近年研究表明,生氰糖苷可能作为氮素储备形式,但在低氮胁迫下如何被重新动员转化为可利用氮源,一直是该领域亟待解决的科学问题。
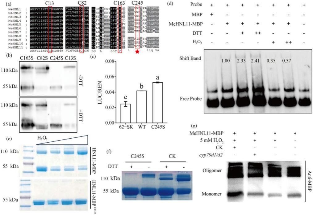
研究团队通过RNA-seq分析发现,低氮胁迫显著诱导氰化物同化基因 MeCAS1b 在木薯须根中上调表达,且该过程依赖于内源氰化物的产生。生理学实验证实,阻断氰化物同化途径会严重削弱木薯的低氮适应性(图1)。为解析上游调控机制,作者以MeCAS1b启动子为诱饵进行酵母单杂交筛库,筛选到一个羟腈裂解酶家族成员MeHNL11。亚细胞定位表明,MeHNL11在低氮胁迫下可向细胞核富集并且其核质分布也与内源氰化物水平密切相关(图2)。Y1H、ChIP-qPCR、EMSA实验证实MeHNL11能直接结合MeCAS1b启动子上的S2片段(-612 bp至-576 bp),同时LUC实验证实MeHNL11正调控MeCAS1b的转录(图3)。进一步研究发现,MeHNL11通过第245位半胱氨酸(Cys245)形成二硫键依赖的同源二聚体/寡聚体;内源氰化物可促进其由二聚体向单体转化,而单体形式的MeHNL11具有更强的DNA结合能力和转录激活活性(图4)。

图1. 不同 NO3 -以及 COB 处理后的木薯表型分析

图2. 不同 NO3 -和 COB 处理下 MeHNL11 在木薯原生质体的亚细胞定位分布

图3. MeHNL11结合MeCAS1b启动子并激活其转录活性

图4 MeHNL11单体和二聚体转录激活能力分析
综上,该研究提出了木薯适应低氮胁迫的“MeHNL11-MeCAS1b”分子模块模型:低氮诱导生氰糖苷从叶片运输至根系,经BGLU和MeHNL11分解产生氰化物;氰化物促使MeHNL11进入细胞核并发生单体化,进而激活MeCAS1b 转录,加速氰化物转化为氨基酸和铵,补充植物氮素需求。这一发现揭示了木薯高效利用自身生氰糖苷作为氮源的分子机制,为其在贫瘠土壤中的强适应性提供了新见解,也为作物氮素高效利用遗传改良提供了潜在靶点。
海南大学热带农林学院与中国热科院生物所联合培养的已毕业硕士研究生麦伟涛为论文第一作者。海南大学热带农林学院/三亚南繁研究院曾长英研究员和中国热科院生物所陈新研究员为共同通讯作者。海南大学博士后鲍茹雪、李梦桃,硕士生刘晓晨,博士生赵金铃、张怀方,以及王文泉研究员等也参与了此项研究。该工作得到了国家自然科学基金、国家现代农业产业技术体系等项目的资助。
论文链接:
https://onlinelibrary.wiley.com/doi/10.1111/pbi.70633
初审:王睿
复审:盘毅
终审:于旭东